Protetică dentară – precizie ridicată și confort maxim
Protetică dentară digitală este soluția modernă pentru refacerea estetică și funcțională a dinților afectați sau lipsă. În cadrul MicroDental Craiova, realizăm tratamente de protetică dentară folosind scaner intraoral de ultimă generație, care oferă o amprentare extrem de precisă, rapidă și confortabilă pentru pacient.
Pentru pacienții care caută protetică dentară în Craiova sau din întreaga regiune Oltenia, tehnologia digitală reprezintă un avantaj major atât din punct de vedere al preciziei, cât și al confortului.
Cum ne ajuta digitalul in protetica?
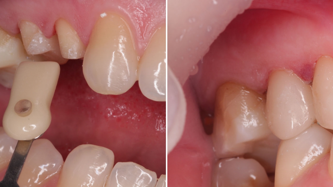
Protetica dentară presupune realizarea lucrărilor protetice – coroane, punți, fațete sau lucrări pe implant – pe baza unei amprente digitale, obținută cu ajutorul scanerului intraoral. Această metodă modernă înlocuiește amprentele clasice cu materiale incomode și permite o reproducere extrem de fidelă a structurii dentare și gingivale.
Scanerul intraoral – element esențial în protetica dentară modernă
La MicroDental Craiova, scanerul intraoral joacă un rol central în tratamentele de protetică dentară . Acesta permite captarea exactă a formei dinților și gingiilor, eliminarea erorilor de amprentare clasică, transmiterea rapidă a datelor către laborator și adaptarea precisă a lucrărilor protetice.
Avantajele proteticii dentare cu scaner intraoral
Precizie digitală superioară
Scanerul intraoral oferă o amprentă extrem de exactă, ceea ce se traduce prin coroane și punți perfect adaptate.
Confort maxim în timpul amprentării
Amprentarea digitală este rapidă, fără materiale neplăcute, fără disconfort și fără reflex de greață.
Timp de tratament redus
Datele digitale sunt transmise instant către laboratorul dentar, reducând numărul de ședințe.
Rezultate estetice excelente
Lucrările protetice realizate digital se integrează natural și armonios în zâmbet.
Siguranță și predictibilitate
Fiecare etapă este controlată digital, minimizând necesitatea ajustărilor ulterioare.realizăm ?

Ce tipuri de lucrări
Protetică dentară este utilizată cu succes pentru:
- coroane dentare
- punți dentare
- fațete ceramice
- lucrări protetice pe implanturi
- reabilitări orale complexe
Cui se adresează în Craiova și Oltenia?
Această metodă este ideală pentru pacienții care caută protetică dentară modernă în Craiova sau vin din Oltenia pentru tratamente stomatologice de precizie, confortabile și durabile.
De ce digitalul in protetică dentară la MicroDental Craiova?
MicroDental utilizează scaner intraoral de ultimă generație și tehnologii digitale avansate pentru a oferi pacienților din Craiova și Oltenia lucrări protetice precise, confortabile și estetice.

Programează-te pentru un tratament cat mai precis în Craiova
Dacă îți dorești lucrări protetice realizate, cu precizie ridicată și confort maxim, te așteptăm la MicroDental pentru o consultație de specialitate.
