Felul in care zambesti spune totul despre tine. Cu un zambet timid, cu buzele apropiate sau stranse, poti da impresia de persoana inabordabila, retrasa, inchisa si uneori poti pierde multe oportunitati. Poate ti-a fost jena sau teama sa zambesti pentru ca ai cateva pete fix pe dintii din fata. Poate culoarea dintilor tai nu e acel alb deosebit la care visezi si care ti s-ar potrivi de minune. Culoarea zambetului conteaza. Te face liber, fericit si iti da acea incredere ca poti cuceri orice inima, poti castiga increderea oricui si poti avea tot ce iti doresti doar pentru ca esti TU!
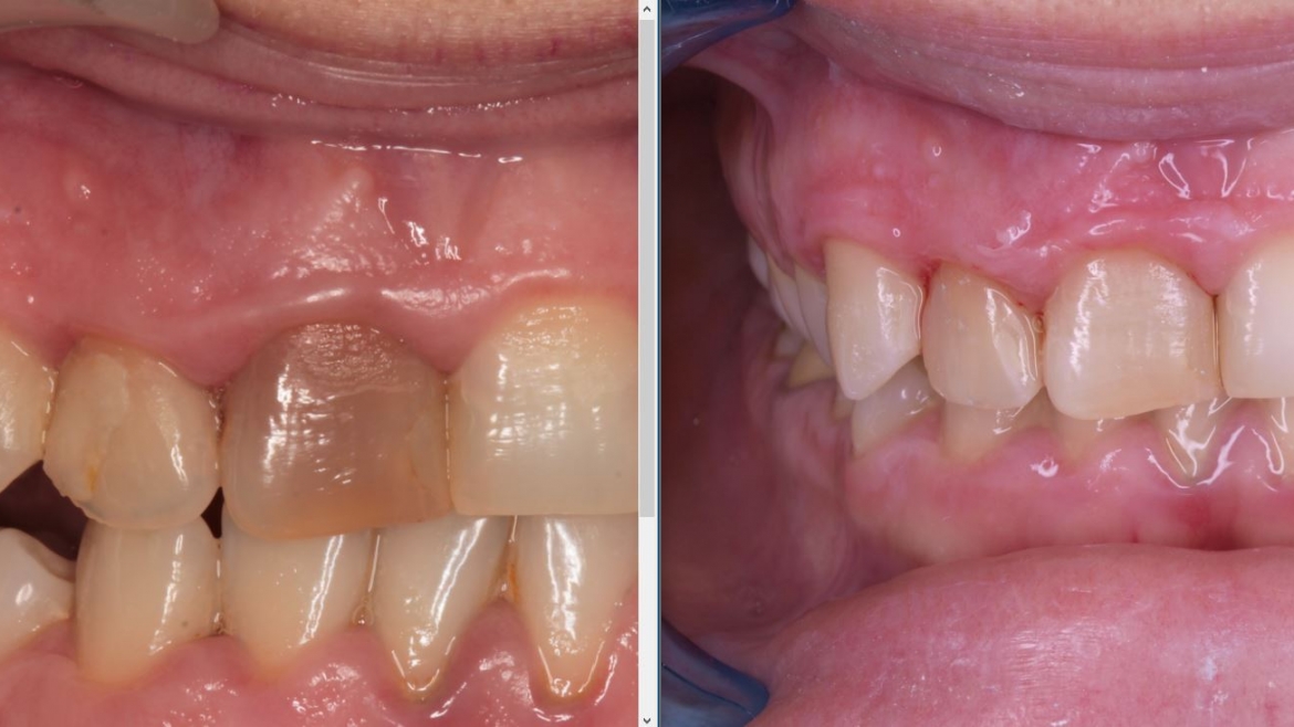
Albirile dentare profesionale sunt proceduri foarte cautate in ultima perioada. Micile discoloratii sau pete pot fi remediate in cabinetul stomatologic in doar cateva sedinte, fara durere, fara proceduri invazive si costisitoare. Pentru a beneficia de o albire in cabinet trebuie sa vii la o consultatie. Doar medicul poate stabili daca esti un candidat pentru o astfel de procedura si tot el iti poate spune cam la ce rezultate finale te poti astepta.
Procedurile de albire se fac dupa un periaj profesional urmat de detartraj. Dintii trebuie sa fie intacti, fara carii active, fisuri, microfisuri sau eroziuni netratate. Mai trebuie mentionat ca substantele de albire, respectiv gelurile cu concentratie mare de peroxid de hidrogen (35-38%) actioneaza doar asupra smaltului natural al dintilor. Obturatiile, puntile, fatetele, incrustatiile, coroanele ceramice isi vor pastra culoarea initiala si s-ar putea sa apara dinferente de culoare in astfel de cazuri. Albirile nu se recomanda persoanelor cu varste mai mici de 16 ani, femeilor gravide sau care alapteaza.
Albirea dentara profesionala se face dupa cum urmeaza:
- Consultatie si stabilirea numarului de nuante cu care se doreste albirea dintilor. Dintii se pot deschide in general cu 3-4 nuante.
- Protejarea gingiilor si obrajilor cu diga sau alte modalitati eficiente de protectie.
- Aplicarea gelului cu peroxid de hidrogen
- Activarea gelului si realizarea albirii cu ajutorul unei unde de lumina cu laser sau cu ajutorul unei lampi cu plasma.
- Uneori albirea se poate finaliza intr-o singura sedinta alteori este nevoie de 2-3 sedinte in functie de modalitatea de lucru si de rezultatele obtinute.
- Rezultatele se vad imediat, procedura este confortabila, eficienta si fara durere.
Nuantele rezultate prin albire se pot mentine 2-3 ani in functie de obiceiurile pacientilor. Cafeaua, ceaiul negru, fumatul, consumul constant de bauturi sau alimente foarte colorate poate reduce timpul de revenire la culoarea initiala. De aceea se recomanda renuntarea la astfel de obiceiuri daca se doreste mentinerea albului impecabil realizat prin albire.
Dintii devitali, la care s-a extras nervul, se vor albi prin alte proceduri ceva mai complicate. Obturatia initiala va fi indepartata si se va aplica un gel de albire in interiorul dintelui, in camera pulpara. Obturatiile de canal deja realizate vor fi protejate, albirea realizandu-se doar in camera pulpara, doar pentru portiunea vizibila a dintelui. Dupa ce gelul de albire isi va face efectul, dintele va fi restaurat corespunzator cu ajutorul materialelor compozite in aceeasi nuanta cu restul dintilor.
Albirile profesionale au avantajul de a fi realizate sub atenta supraveghere a medicului, rezultatele obtinute fiind un zambet uniform, in nuante atent alese, cu geluri de calitate, bine dozate si aplicate pe perioade fixe de timp.
Pentru consultatii si albiri profesionale va invitam in cabinetul stomatologic. Beneficiile albirilor sunt evidente, rezultatele obtinute vor aduce cu siguranta un mare plus de incredere in sine celor care aleg sa faca acest pas si sa-si imbunatateasca semnificativ aspectul fizic prin proceduri de cosmetica dentara.
