Tratament ortodontic în Craiova – soluții moderne pentru copii și adulți din Oltenia
Tratamentul ortodontic are ca scop corectarea poziției dinților și a maxilarelor, asigurând o funcționare corectă a aparatului dento-maxilar și obținerea unui zâmbet armonios, sănătos și estetic. În cadrul clinicilor stomatologice moderne din Craiova și din întreaga regiune Oltenia, tratamentul ortodontic este privit ca un proces biologic complex, care se desfășoară lent și controlat, conform unui plan de tratament individualizat stabilit de medicul ortodont.
Acest proces presupune aplicarea unor forțe ortodontice ușoare, menite să ghideze dinții și structurile osoase într-o poziție corectă, fără a provoca durere sau disconfort semnificativ pacientului.
Cauzele care duc la apariția malocluziilor dentare sunt multiple și pot fi împărțite în trei categorii principale.
Cauze genetice:
- lipsa congenitală a unor dinți sau prezența unor dinți suplimentari
- disproporții între dimensiunea dinților și cea a oaselor maxilare
- înghesuiri sau spațieri dentare inestetice
- defecte scheletale, cu dezvoltarea excesivă sau insuficientă a maxilarului ori mandibulei
Cauze ambientale:
- pierderea precoce a dinților de lapte
- perturbarea funcțiilor de respirație sau deglutiție
- obiceiuri vicioase precum sugerea degetului, interpunerea buzei sau respirația orală
Cauze combinate, genetice și de mediu, care pot accentua severitatea anomaliilor dentare.
Identificarea precoce a acestor factori determinanți crește semnificativ șansele ca tratamentul ortodontic să ofere rezultate estetice, funcționale și stabile pe termen lung.
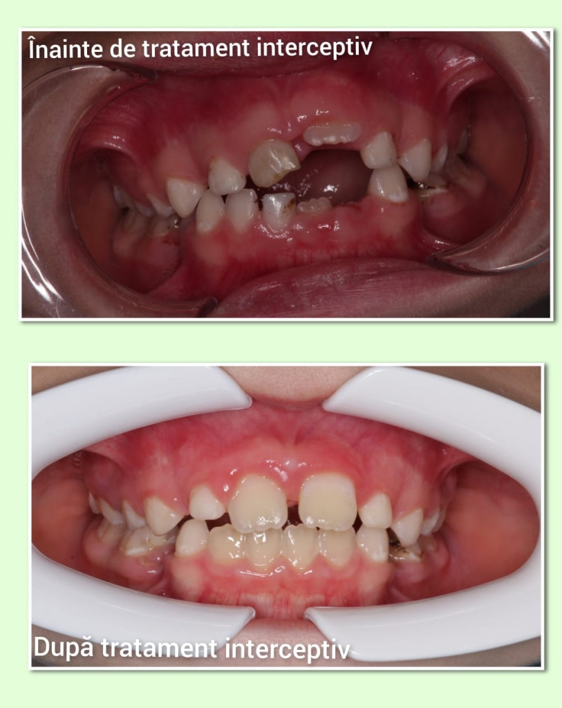
Asociația Americană de Ortodonție recomandă ca prima consultație la medicul ortodont să aibă loc în jurul vârstei de 7 ani. La această vârstă, copilul are suficienți dinți permanenți pentru ca specialistul să poată identifica eventuale probleme ortodontice existente sau aflate în dezvoltare. Amânarea controlului ortodontic până la pierderea completă a dinților temporari este o greșeală frecventă, deoarece anumite anomalii sunt mult mai ușor de corectat în perioada de creștere.
Cu toate acestea, tratamentul ortodontic este eficient și la vârsta adultă. Dinții sănătoși pot fi deplasați ortodontic la orice vârstă, iar tratamentele moderne permit corectarea poziției dentare într-un mod discret și eficient. La adulți, tratamentele se bazează pe adaptarea structurilor existente, în timp ce la copii potențialul de creștere osoasă contribuie activ la obținerea rezultatelor optime.
Dinții malpoziționați sunt mai greu de igienizat și pot favoriza apariția cariilor, bolilor parodontale, uzurii anormale a smalțului și traumatismelor ocluzale prin suprasolicitarea anumitor dinți.
Tratamentul ortodontic se desfășoară pe o perioadă variabilă de timp, în funcție de complexitatea cazului. Acesta nu este dureros, iar eventualele senzații de presiune resimțite la începutul tratamentului sau după activări sunt temporare.

Medicul ortodont stabilește diagnosticul pe baza unui examen clinic complet, investigații radiologice, fotografii dentare și faciale, precum și analize pe modele de studiu. În urma acestora, se propune un plan de tratament personalizat, utilizând aparate ortodontice fixe sau mobile. Rolul pacientului este esențial și presupune respectarea indicațiilor medicale, prezentarea la controalele periodice și menținerea unei igiene orale riguroase.
La finalul tratamentului ortodontic, menținerea noii poziții a dinților este realizată prin purtarea unei contenții, care poate fi fixă (retainer colat), mobilizabilă (gutieră transparentă) sau activă, în funcție de particularitățile fiecărui caz.
Aparatele ortodontice utilizate pot fi:
- aparate fixe, cu brackeți metalici sau estetici (ceramică sau safir)
- aparate mobile, recomandate în special copiilor, care permit o igienizare corectă și stimulează dezvoltarea osoasă
- aparate funcționale, care folosesc forța musculaturii orale pentru ghidarea creșterii maxilarelor
- aparate miofuncționale (trainere), realizate din silicon medical, utilizate în dentiția temporară sau mixtă
Tratamentul ortodontic contribuie semnificativ nu doar la îmbunătățirea esteticii zâmbetului, ci și la menținerea sănătății orale pe termen lung, fiind o investiție importantă în calitatea vieții pacientului.
Alignerele dentare – ortodonție modernă, discretă și eficientă
Alignerele dentare reprezintă o soluție modernă de tratament ortodontic, din ce în ce mai utilizată de pacienții din Craiova și din întreaga regiune Oltenia, datorită confortului, esteticii superioare și eficienței dovedite. Acestea constau în seturi de gutiere transparente, personalizate pentru fiecare pacient, care aplică forțe controlate pentru deplasarea treptată a dinților.
Tratamentul cu alignere este realizat pe baza unei planificări digitale avansate. Medicul ortodont efectuează scanarea intraorală, iar poziția finală a dinților este simulată computerizat înainte de începerea tratamentului. Astfel, pacientul poate vizualiza rezultatul estimativ încă de la început.
Alignerele sunt aproape invizibile, fiind o opțiune ideală pentru adolescenți și adulți care își doresc un tratament discret, fără brackeți sau sârme metalice. De asemenea, acestea sunt confortabile și nu produc iritații ale mucoasei orale.
Un avantaj major al alignerelor îl reprezintă posibilitatea de îndepărtare în timpul meselor .și al igienei orale. Pacientul poate mânca fără restricții și își poate peria dinții și folosi ața dentară în mod normal, reducând riscul apariției cariilor și al problemelor gingivale.
Tratamentul ortodontic cu alignere este eficient în corectarea unei game largi de anomalii dentare, precum înghesuirile ușoare și moderate, spațierile dentare, anumite tipuri de malocluzii și recidive după tratamente ortodontice anterioare. În cazurile complexe, alignerele pot fi utilizate ca parte a unui plan de tratament combinat.

Pentru eficiență maximă, alignerele trebuie purtate aproximativ 20–22 de ore pe zi, fiind schimbate periodic conform indicațiilor medicului ortodont. Durata tratamentului variază în funcție de complexitatea cazului și de complianța pacientului.
Alignerele dentare reprezintă o alternativă modernă la aparatul dentar clasic, oferind rezultate predictibile, confort sporit și o experiență plăcută pe tot parcursul tratamentului ortodontic.
